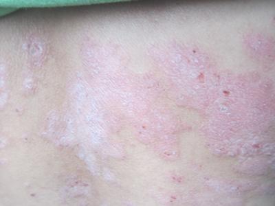
我兄弟患上了牛皮癣怎么办啊?牛皮癣的出现令我们的身心都受到了极为严重的伤害,治疗牛皮癣要内外兼治,从病根入手治疗,外用药膏涂抹患处控制住皮损的扩散。那么我兄弟患上了牛皮癣怎么办啊?下面我们随着合肥牛皮癣医院专家一起来看看。
我兄弟患上了牛皮癣怎么办啊?
1、如今的医患关系比较紧张,大家在治疗过程中要做好与医生的沟通,避免沟通不到位而相互出现误解。牛皮癣患者要树立正确的治疗观,坚持治疗,不要盲目中断治疗,以免病情反复,令患者身体受损。相关阅读:牛皮癣真的可以治愈吗,医生
2、牛皮癣患者在平时要注意情绪的调节,不要要坏情绪控制我们。牛皮癣患者对于牛皮癣的治疗要多加了解,了解其病因、病症、治疗手段等,树立克服疾病的信心,不要畏惧牛皮癣,坚持治疗是可以早日战胜牛皮癣的。
3、患上了牛皮癣,患者的病因病症不同,治疗方式也是不同的。对于病情严重的患者可以采用光疗、成体细胞激活技术等,与其他疗法联合进行,消除药物对肝脏的损害,大限度的保证治疗效果,降低治疗副作用。
我兄弟患上了牛皮癣怎么办啊?治疗牛皮癣要内外兼治,不要盲目轻信偏方、小广告。治疗牛皮癣,我们要坚持,不要随意中断治疗,坚持护理。
- 上一篇:牛皮癣真的可以治愈吗,医生
- 下一篇:过敏也是银屑病的诱发因素吗

面部银屑病
头部银屑病
双手银屑病
双腿银屑病
腰部银屑病
胸部银屑病
背部银屑病
更多项目



